しかしながら皆さん多かれ少なかれ必ず、寝ている際歯ぎしりをしていたり、日中仕事や家事に集中している時に歯を食いしばっていたりします。
誰もがしている一種の「くせ」であるため特異なことではありませんがひどくなるとさまざまな問題を引き起こします。
お口だけではなく心身ともに健康で過ごしていただくため、
ご自身の歯を「残す・守る・痛くない」治療で安心して通院していただける歯科医院を目指します。
ホーム ≫ 歯ぎしり・食いしばり ≫
歯の表面のエナメル質が強い力によりすり減ることで内部の象牙質がクレーター上に露出しています。人によってはものが詰まりやすくなった、歯がしみる、噛むと痛むといった症状が出ます。

強く噛み合う力を支えるため、歯を支える顎の骨が増殖し隆起します。

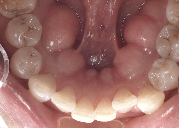
歯ぎしりや食いしばりをする際に舌を歯に押し付けるため舌の表面に歯の形に沿った圧痕ができます。

歯のすり減りやそれに伴う破折、歯がしみる知覚過敏、噛むと痛むといった症状が引き起こされます。根管治療を受けている歯などは歯根破折を起こすと抜歯が必要になる可能性もあります。
生まれつきの歯並びなどが悪い場合、特定の歯に負担がかかりすぎて咬合時の痛みやしみる症状が出る場合があります。
歯周病によって弱った歯周組織にダメージを与えるため、歯周病が悪化しさらに歯の揺れが大きくなる事があります。
顎関節症(開け閉め時の痛み、顎関節の雑音)などを引き起こす事があります。
おおよそ15分です。24時間(1,440分)のうちのたった15分です。
この時間を超えてくる人はTCH(歯列接触癖)と呼び、歯や口腔周囲の筋肉、顎関節などに負担がかかっている可能性が高くなります。

〒221-0822
神奈川県横浜市神奈川区
西神奈川2丁目6-8
akira quattro1F
9:00~12:30/13:30~17:30
水曜日、日曜日、祝日
スマートフォンからのアクセスはこちら