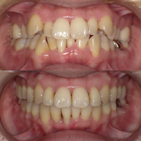
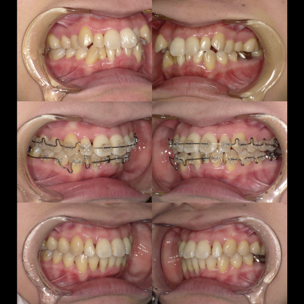
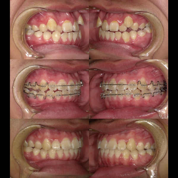
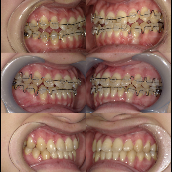
なぜ抜かない矯正なのか
以前より矯正治療においての抜歯・非抜歯の判断は「顎の骨の大きさとそこに並びきる歯のスペース」のみで考えられてきました。顎の骨が小さいのなら、歯が並ぶ隙間がありませんので、小臼歯(4番)の歯を抜歯して、歯が並ぶスペースを確保するという方針が立てられます。
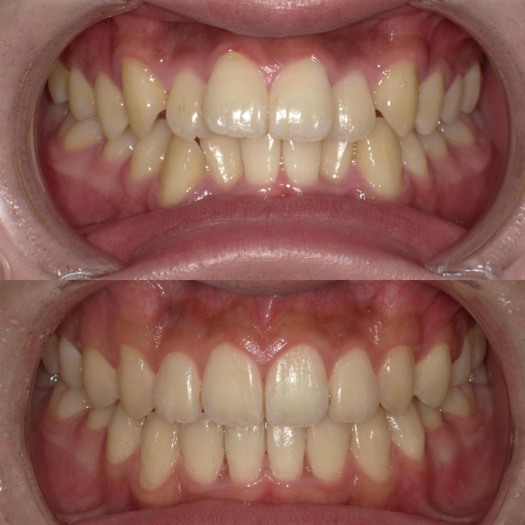
小臼歯を抜歯しても機能的に安定していれば問題はありません。
しかし、すべての患者さんではありませんが、小臼歯を抜歯して治療した後、かみ合わせがうまくいかない、顎関節症になったなどの問題がみられるようになりました。
一生自分の歯で食事ができるという機能的な観点から考えると、小臼歯はかみ合わせの長期的な安定に欠かせない歯であることがわかってきました。
現在、歯列不正になる原因は、下顎の位置関係、歯の傾きなど様々な要因があることがわかっています。
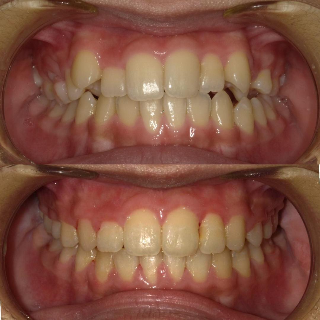
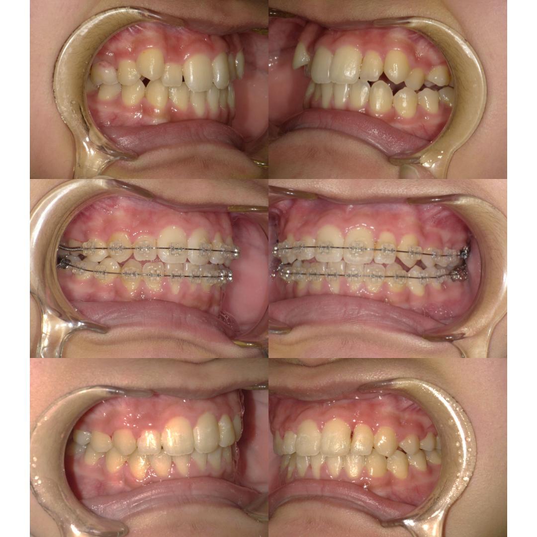
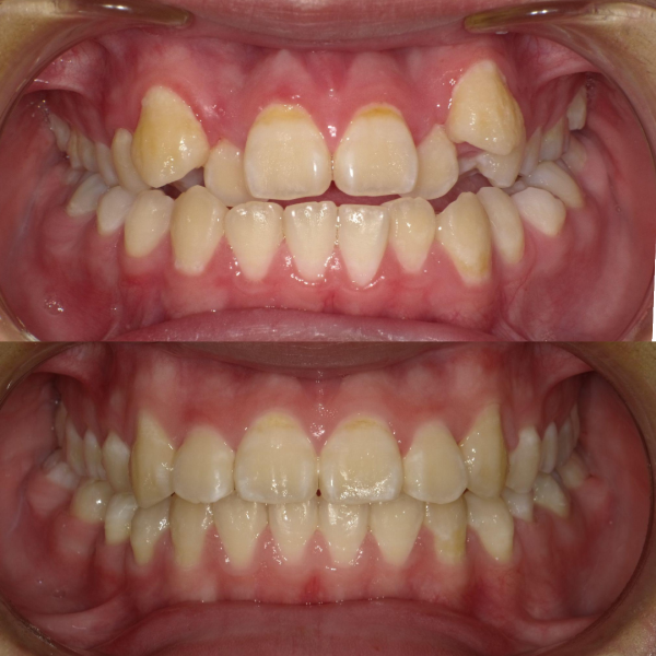
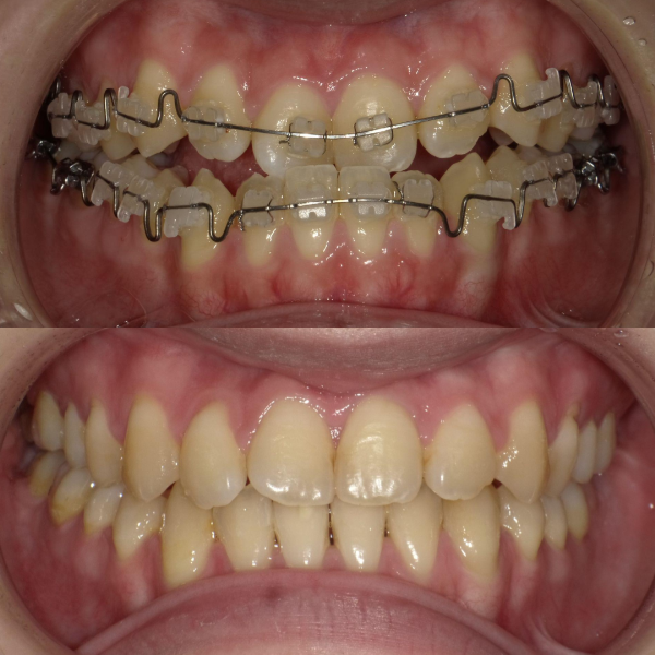
そういった様々な要因を取り除くことで、従来、小臼歯(4番、5番)を抜歯しなければ治療できない症例でも、非抜歯で治療可能となってきているのです。
機能的に小臼歯は非常に大切な歯であることから、最大限小臼歯を抜歯せずに治療できる治療方針を考えます。
また、下顎の位置関係、歯の傾きなどの原因を新素材ゴムメタルワイヤーで治療を行うことでほとんどの症例で小臼歯を抜歯しなくても治療可能になってきています。
→不正咬合について詳しく見る
→小児矯正(第1期治療)はこちら
→口腔筋機能療法について詳しく見る

