インプラント治療について
インプラントが骨としっかり結合することで歯の根の役割を果たすため、その上に土台と人工歯を装着することで、歯を失った部分にご自分の歯のような機能を蘇らせることが可能になります。
天然歯のような噛み心地で食事や会話が楽しめ、自然な見た目・表情を取り戻すことができるため、他人からの視線を気にすることから発生するコンプレックスやストレスもなくなり、毎日を健康的に過ごしていただけるようになります。
お口だけではなく心身ともに健康で過ごしていただくため、
ご自身の歯を「残す・守る・痛くない」治療で安心して通院していただける歯科医院を目指します。
ホーム ≫ インプラント治療 ≫
院長はICOI(国際インプラント学会)の認定歯科医師です。
ICOIは世界最大のインプラント学会であり、70カ国以上に支部があります。
Fellowship(認定医)も、取得するには難しい症例報告や、英文での試験、口頭試問があります。認定医として正しく患者さんにインプラントを活用した治療を提供するため、学んだ知識や技術を生かし、精度の高い丁寧な治療でお口の健康を守ります。
安全・安心にインプラント治療をする為に、最新の歯科用CTスキャンを導入しております。
歯科用CTスキャンは3次元診断が可能になります。従来のレントゲンより格段に診断能力が高くなります。今まで以上にインプラント治療に対する成功率や予知性を上げることができます。

インプラント治療などの外科治療にもマイクロスコープを用いることで、メスや小さい針、細い縫合糸が使用できます。それに伴い、治りも早く傷跡も残りにくくなります。マイクロスコープによる治療は、今までは困難だった体にやさしく安全で精密な施術を可能にする治療と言えます。
| 1本 | 440,000円 |
|---|
| 前歯 | インプラント費用に+22,000円 |
|---|---|
| 抜歯即時 | インプラント費用に+22,000円 |
| 印象(型取り) | 5,500円 |
|---|---|
| ソケットリフト | 55,000円 |
| サイナスリフト | 220,000円 |
| GBR | 175,000円 |
| ソケットプリザベーション(抜歯込み) | 88,000円 |
義歯(入れ歯)は残っている歯を支えに粘膜の上に乗っかる構造をしています。保険ですと比較的安価に短期間で作成できます。
しかししっかりと固定されてはおりませんので、粘膜に義歯が食い込んだり、食べ物が挟まって痛い場合があります。
また硬いものが食べづらい、支えとなる歯に負荷がかかる、残った歯の虫歯や喪失リスクが高い、金属のバネが目立ち審美性が劣る場合があります。
ブリッジのメリットは、固定式であり食事も違和感なく咀嚼できることにあります。さらに自由診療の材料ならば見た目もきれいにすることができます。
しかしブリッジの最大のデメリットは、隣り合う健康な歯を大きく削ってかぶせものにする必要があることです。当然削った歯は削られた分弱くなりますし、なくなってしまった歯の負担を両隣りの歯で支えるわけですから個々の歯の仕事量が大きくなります。結果的に健康だった歯を無くすことに繋がる可能性があります。
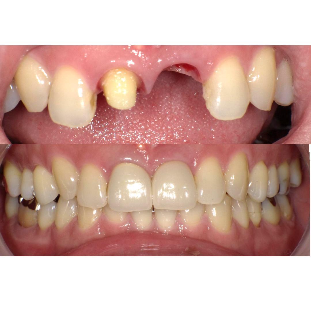
歯の無い部分に直接、人工歯根を埋入する方法です。
入れ歯やブリッジのように他の歯に負担を強いることもありません。
インプラント治療はすべて自由診療ですので費用はかかります。しかしながら違和感の少なさや、残っている歯への負担を考えると、ブリッジ・入れ歯より優れています。また、インプラントの10年残存率は90%を超えていますので、寿命が長いこともメリットと言えるでしょう。
歯を抜歯したその日にインプラントを埋入する方法です。
通常、抜歯を必要とするケースでは、歯ぐきや骨が完全に治癒するまで、3〜6か月待つ必要があります。しかし、近年抜歯即時埋入法と抜歯待時埋入法の予後に差はないことがわかり、患者さんの負担を軽減する目的で行う歯科医院も増えてきました。
抜歯即時埋入法は上あごの前歯で行われることが多い手法です。
しかし顎の骨が極端に痩せていたり、感染のリスクが高い場合は適応にならない場合がありますので慎重に見極める必要があります。
1回の外科手術で済むので治療期間や心身の負担が少なくなります。また抜歯した箇所の骨や歯茎が痩せにくく、前歯の場合歯が入っていない期間がないため、見た目への影響がほとんどないことは最大のメリットと言えるでしょう。

Guided Bone Regenerationの略で、日本語では骨誘導再生法と呼ばれています。
インプラント治療において骨が少ない方の場合に、歯槽骨や顎の骨の再生を促す治療方法です。
GBRでは骨補填材を使用したり、患者さん自身の骨を採取・移植して、骨の再生を促すことでインプラントを固定するのに必要な骨の量・幅を増やします。
やや手術としての侵襲は大きいので術後に腫れたり、感染のリスクがあります。治療期間も伸びる場合が多いですが、骨の少ない場所にもインプラントを適応にすることができます。
上顎の奥歯部分において、上顎洞(副鼻腔)に骨造成のための拡張を側面から行い、インプラント治療を行う際に骨量を増やすための手術です。
上顎の奥歯の歯を失った場合、骨吸収を強く起こし骨量が不足していることがあるため、インプラントを安定して埋め込むために必要となることがあります。
サイナスリフトと同様に上顎の奥歯の骨量が少ない際に行う骨造成の方法です。
サイナスリフトとは異なり上顎洞に対し真下からアプローチすることで傷口の範囲を最小限に抑えることができます。
オリジナルのSummersテクニックでは専用のオステオトームを使用していますが、現在ではバルーンや水圧を利用して上顎洞の挙上をこなう方法もあります。
しかし増やせる骨量もサイナスリフトと比べ少ないため、それほど骨吸収が進んでいない場合に適している方法です。
抜歯後は歯があった部分は時間とともに骨がやせて薄くなっていきます。特に感染を起こしやむなく抜歯したケースではそもそもかなりの骨量が吸収していることが多くみられます。
ソケットプリザベーションは、歯を抜いた部分に抜歯と同時に移植した骨、人工の骨、コラーゲンなどを入れることにより、骨がやせていくのを防ぎ、インプラントを入れやすくする方法です。

〒221-0822
神奈川県横浜市神奈川区
西神奈川2丁目6-8
akira quattro1F
9:00~12:30/13:30~17:30
水曜日、日曜日、祝日
スマートフォンからのアクセスはこちら