効果的なエアフロー技術
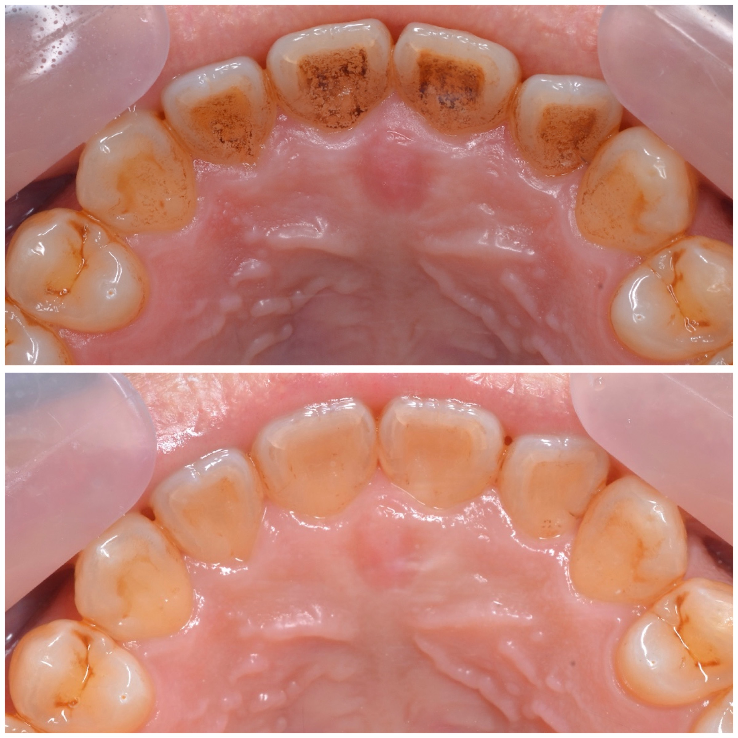
エアフローは、粉末状の清掃剤と空気、水を高速で噴射し、歯や歯茎の汚れを的確かつ効果的に除去する方法です。歯石や歯垢、着色汚れを優しく落とすことができ、歯茎や被せ物に負担をかけにくくに快適なケアを提供できます。
エアフローによるPMTCは、定期的に受けることで歯周病や虫歯のリスクを軽減し、お口の中の環境を整えます。歯を失う原因となる細菌の繁殖を抑え、歯と歯茎の健康を長期的に保つことが可能です。
また、エアフローを定期的に受けることで、歯の表面が滑らかになり、新たな汚れが付着しにくくなります。その結果、歯磨きがしやすくなり、自分自身でのケアも継続的に効果的に行えるようになります。
予防歯科・PMTCは、歯を失うことを未然に防ぐための重要なケアです。当院では、エアフローを活用して、患者さまのお口の健康をサポートします。




