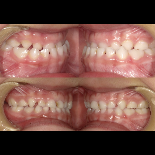
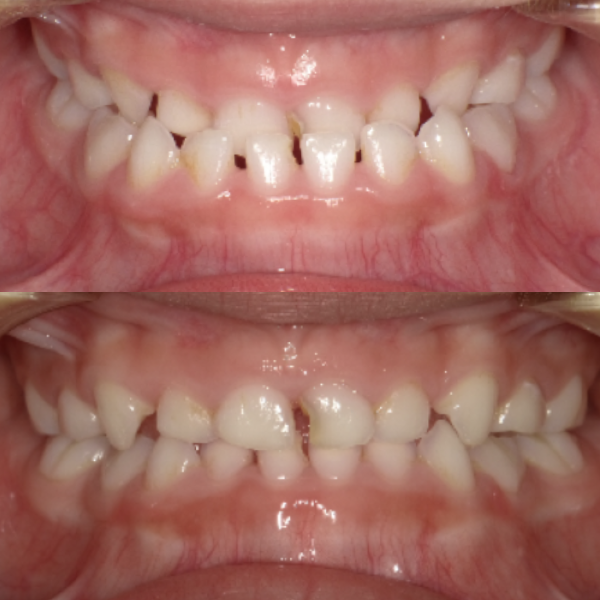
小児矯正とはおおよそ6歳から12歳までに行なう歯の矯正のことで第一期治療とも呼ばれます。
この年齢は乳歯から永久歯に生え変わる時期で、顎骨も成長していますので顎のバランスを矯正治療により整えやすく、歯の生えるスペースを確保しつつ矯正を進めることができます。
お子さんは矯正による変化に対する適応能力も高いため、早く馴染んでいくのもメリットです。第一期に矯正を行なうことは正しい顎の成長を促すことでもあり、将来的に歯を抜かなければならないリスクを軽減することにも貢献します。
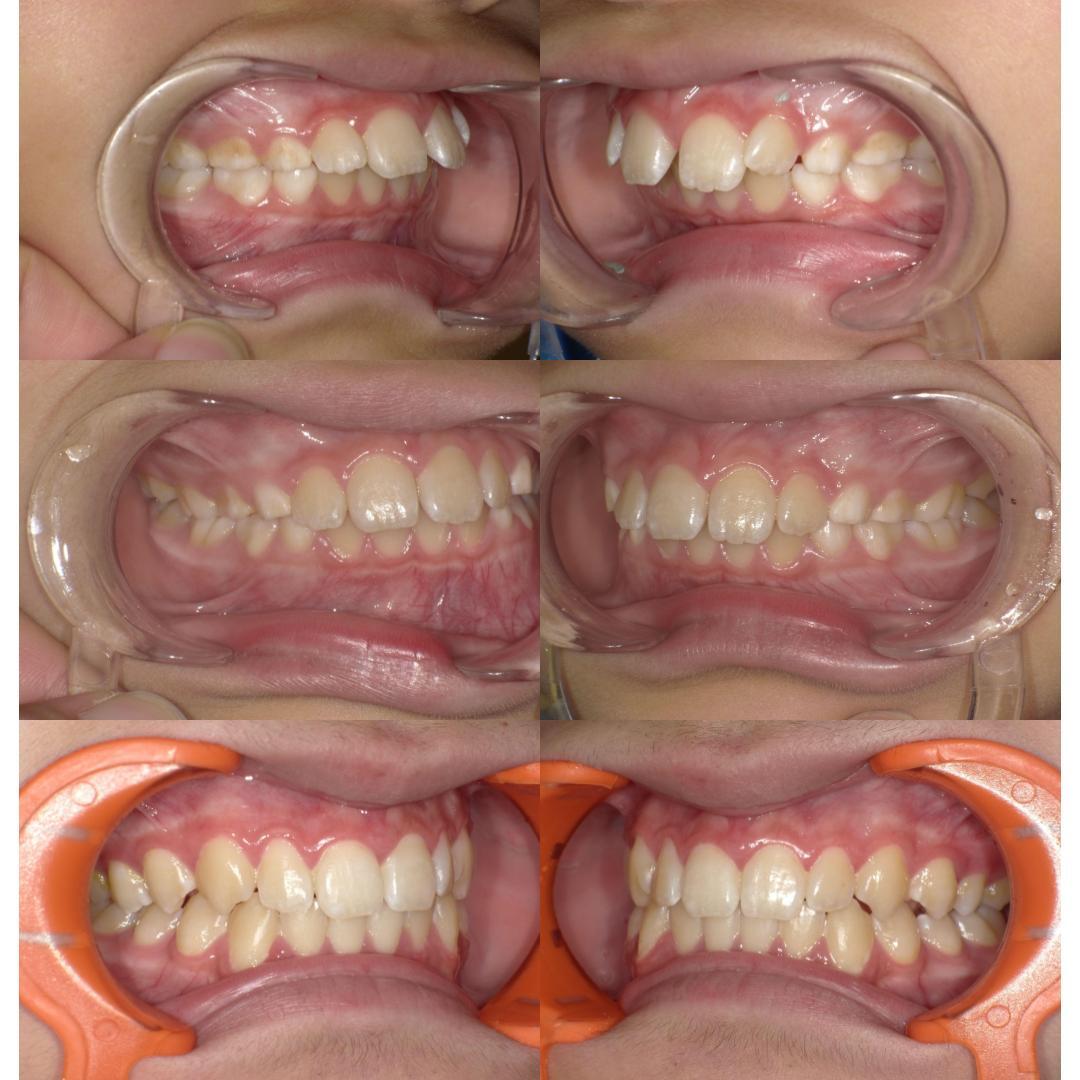
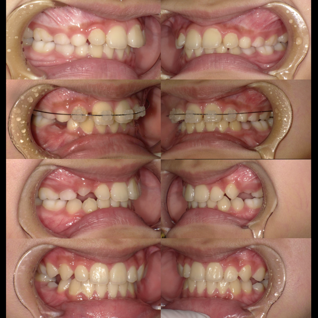
*第一期矯正治療に引き続いて永久歯の生え揃った段階で行なう矯正を第二期治療と呼びます。第二期矯正治療は、内容としては成人矯正と同じ内容となります。
第一期矯正治療のみでは解決できない問題が残る場合は、第二期治療での改善が必要となります。
→不正咬合について詳しく見る
→抜かない矯正について詳しく見る

